Our Dental Clinical
10
YEARS
25
CLINICS
100,000
PTS.
MEYA DENTAL is a dental clinic specializing in dental implants. Our founder has 10 years of experience managing a chain of dental implant specialty clinics in China, overseeing 25 clinics, and serving 100,000 patients with missing teeth each year.
Our Service
Free
dental check-up
Free
CT scan
Free
treatment plan
Free door-to-door transportation
Our Price
One-price all-inclusive
(Korea Dental Implant System+Crown)
Our
Focus
Expert Implants.
Confident Smile.
Our
Mission
A Smile for All.
Our
Core
Expert-Led.
Quality-Guaranteed.
Our
Promise
Better Doctors.
Better Care.
Fair Price.
Tooth loss leads to a cascade of oral health problems
Including:
Alveolar bone resorption at the site of the missing tooth.
The jawbone in the area of the missing tooth no longer receives stimulation from chewing. As a result, it will begin to shrink and deteriorate over time, which can change the shape of your face.
Shifting adjacent teeth into the empty space.Shifting of Adjacent Teeth: The teeth next to the gap will gradually tilt and drift into the empty space. Over-eruption of Opposing Teeth: The tooth opposite the gap may start to "grow" longer because there's no opposing tooth to keep it in place. This can ruin your bite.
Over-eruption of the opposing tooth due to lack of contact.
Aesthetic impairment that can contribute to a prematurely aged facial appearance.
Speech impediments and difficulty pronouncing words clearly.
Dental implants
Is a tooth restoration procedure involving surgical placement of an artificial tooth root(implant)into the jawbone.Once osseointegration is successful, a custom-made artificial crown is attached,restoring the missing tooth's aesthetic appearance and chewing function.
01
Implant is inserted into the bone
02
Healing process of the bone (osseointegration)
03
Dental abutment is placed on the implant
04
Ceramic crown is placed which replaces the real tooth
Missing one tooth
Missing three teeth
No teeth
Implant

Planting inside the boneof missing site

No damage to adjacent teeth

3-6 months

Expensive initial cost, but economical in the long run

Same masticatory as natural tooth

Semipermanent lifespan

Bridge

Shaving down both adjacent teeth and making three teeth into one mass to fill the gap

Need to shave down healthy adjacent teeth

Short

Inexpensive

Weak masticatory force due to the absence of dental root

Replacement every 5-10 years

Denture

Taking impression of the gum and making standardized teeth and dentition

Progressive absorption of gingival bone

Short

Cheaper than implant, but requires additional cost and causes great discomfort with use

Diffcuit consuming tough or hard food

Repair/replacement every 3-4 years

Medical Team
Medical Advisory Team
Doctor of Stomatology, Peking University Health Science Center
Lu Songhe

Member of the International Team for Implantology (ITI)
Published five papers in SCI-indexed and national core journals
Member of the Chinese Stomatological Association, Member of the Prosthodontics Committee
Member of the Beijing Stomatological Association

With over ten years of professional experience in dental implants, he has accumulated extensive clinical expertise. He specializes in comprehensive diagnosis and treatment planning for dental implant systems, minimally invasive tooth extraction and implant placement, digital implantology, implant procedures in the aesthetic zone of anterior teeth, complex hard and soft tissue reconstruction for alveolar bone defects, and full-arch implant restoration for edentulous patients.

Medical Advisory Team
Director of Implantology at Meiya Dental
Zhan Jinjin

Attending Physician in Prosthodontics
Member of the Implantology Committee of the Chinese Stomatological Association
Senior Member of the Minimally Invasive Dental Implant Technology Research Institute
Certified Physician of Swedish Nobel Biocare
Certified Physician of Swiss SIC Implant Training
Expert in Digital Intelligent Implantology
Member of the Expert Group for Complex Implant Cases at Meiya Brand Chain

Specializes in minimally invasive dental implants, semi-fixed implant restorations, fixed implant restorations, All-on-4 immediate implant restorations, aesthetic implant restorations for anterior teeth, fixed dentures, and full-mouth occlusal reconstruction.

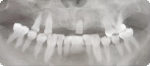
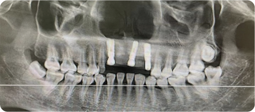
Multi-unit Dental Implant Case
BEFORE
VS
AFTER
Name:MS DengAge:31
Evaluation: Long-term use of a removable denture has led to compromised mastication and severe alveolar bone resorption.
Treatment Plan:The solution involves three dental implants that anchor a five-tooth bridge.Two artificial teeth are suspended between the implant-supported crowns, restoring all five missing teeth.
Patient Feedback:Tought&Feel like natural teeth.Unlike removable dentures, implant-supported teeth are designed for lasting comfort, security, and a natural appearance—without slipping or the need to grind down adjacent teeth.
For Prevention: Practice good oral hygiene every day and schedule regular professional cleanings and check-ups to effectively prevent plague accumulation.
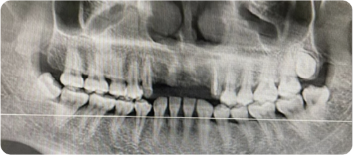
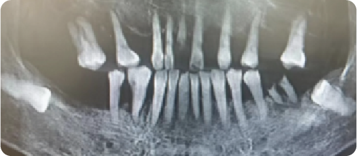
Case of Multiple Missing Teeth with Mobility of the Residual Dentition
BEFORE
VS
AFTER
Name:Mr NiuAge:64
Evaluation: Generalized tooth mobility and multiple tooth loss secondary to poor periodontal status
Treatment Plan:Two implants were placed in both the maxillary and mandibular anterior regions, each supporting two crowns, restoring a total of four teeth, a three unit fixed bridge, with a pontic for tooth #5, was supported by two implants in positions #4 and #6 in the upper left quadran.
Patient Feedback:It feels solid—I can bite with confidence, My healthy teeth were left alone, and they look so natural and feel so comfortable, it's just like having my own teeth back.
Multiple Dental Implants Case
BEFORE
VS
AFTER
Name:Mr QinAge:34
Evaluation: Missing two or three maxillary anterior teeth.
Treatment Plan:Three implants were placed to anchor a bridge that replaces five teeth,with two artificial teeth suspended in between.
Patient Feedback:Experience a secure, long-lasting solution that protects your healthy teeth,feels comfortable, and looks bcautifully natural.
For Prevention:Consistent care, including diligent oral hygiene and regular professional maintenance,is essential for the long-term durability of dental implants.
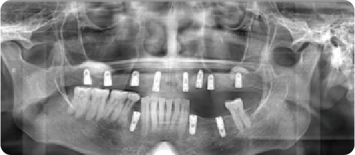
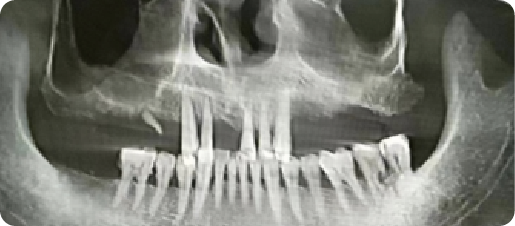
Half Arch Dental Implant Case
BEFORE
VS
AFTER
Name:Mrs zhangAge:40
Evaluation: The patient presents with compromised masticatory function and severealveolar bone resorption secondary to long-term use of a removable denture
Treatment Plan:The patient underwent bilateral maxillary sinus augmentation to restore masticatory function in the upper arch, and three implants were placed in the mandible, supporting a 4-unit prosthesis to restore masticatory function.
Patient Feedback:It feels just like my own teeth— I can eat anything I want with confidence, and they're so comfortable and natural-looking that I forget they're not real.For Prevention:Maintain meticulous oral hygiene and adhere to a schedule of regular professional maintenance; these measures are essential for achieving optimal functional longevity of your dentition.
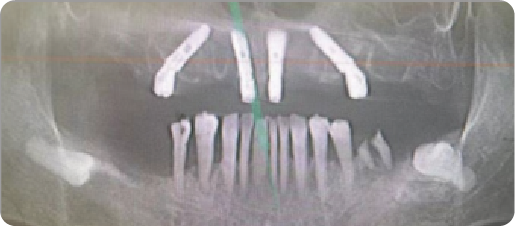
Half Arch Dental Implant Case
BEFORE
VS
AFTER
Name:Mr WangAge:65
Evaluation: Mobility and subsequent loss of sound maxillary teeth secondary to removable denture use
Treatment Plan:The remaining mobile teeth were extracted, followed by the placement of six maxillary implants to restore a complete arch of twelve teeth
Patient Feedback:Natural Beauty,Worry-Free Function,and Seamlessly integradted Comfort.
For Prevention:To prolong the functional longevity of your restoration, avoid chewing excessively hard foods, maintain meticulous oral hygiene, and adhere to your scheduled recall appointments
Half Arch Implant Dental Case
BEFORE
VS
AFTER
Name:Mrs YangAge:87
Evaluation: Abrasive cervical lesions with subsequent tooth fracture and mobility, attributed to long-term traumatic toothbrushing with a horizontal technique
Treatment Plan:Procedure: Extraction of compromised dentition and placement of four implants in the maxillary arch
Patient Feedback:l can finally eat anything I want without worrying. It's secure, doesn't harm my other teeth, and looks and feels so natural that I forget it's even there
To ensure the long-term durability of your implant restoration, I advise: • Meticulous oral hygiene. • Regular professional examinations and maintenance These are critical determinants of clinical success
complete edentulism
BEFORE
VS
AFTER
Name:Mrs WangAge:65
Evaluation: Long-standing tooth loss, characterized by mobile teeth and resulting alveolar bone resorption
Treatment Plan:The patient underwent full-arch immediate rehabilitation with six im-plants placed in both the maxilla and mandible Patient Feedback:l can finally chew with confidence, smile without hesitation, and enjoy every day in complete comfort.
For Prevention:Maintain regular recall appointments and practice meticulous oral hygiene to prevent periodontal disease and ensure the long-term success of your dentition
A case of generalized mobility in the remaining teeth and complete edentulism.
BEFORE
VS
AFTER
Name:Mr PanAge:62
Evaluation: Wearing a removable denture over the long term can loosen and eventually cause the loss of your natural teeth, which can significantly diminish your appetite.
Treatment Plan: The treatment involved extraction of the residual mobile teeth and immediate placement of 12 implants with a fixed prosthesis.
Patient Feedback: It feels solid—I can bite with confidence. My healthy teeth were left alone, and they look so natural and feel so comfortable, it's just like having my own teeth back
For Prevention:Keep up with your check-ups and practice good oral hygiene to prevent gum problems and extend the life of your teeth